12

Alternatívák az Angle II osztályú korrekcióban

ALF képzés

Miért lehet reális a sebészet nélküli mandibula előre mozgatás?

Ismerd meg a TMI biológiai adaptációján és kíméletes, funkcionális erőkön alapuló megközelítést – rögzített kezelésekkel kombinálva.

Az Angle II eltérések kezelése a fogszabályozás egyik legnagyobb kihívása

A terápiás döntéseket sokszor merev dogmák határozzák meg: meghatározott overjet- vagy overbite-határok felett rutinszerűen sebészeti megoldás, alatta kompromisszumos extrakciós vagy camouflage-kezelés kerül szóba.

Mi van akkor, ha  az állkapocsízület mégis képes az adaptációra? Mi van akkor, ha az állkapocsízület helyzetét nem a genetika, hanem az izomkörnyezet határozza meg? Egyre több alternatív, másodosztályú korrekciós technika jelenik meg a fogszabályozásban és mind tudományos, mind klinikai tapasztalatok mutatják, hogy a temporomandibuláris ízület képes jelentős biológiai adaptációra és átépülésre. Megfelelő diagnózis, kíméletes technikák és az izomzat tréningje mellett reális lehetőség nyílik olyan stabil esztétikai és funkcionális korrekcióra, amely korábban csak sebészeti úton volt elképzelhető.

Ez a képzés abban segít, hogy tisztán lásd:

  • Mikor valóban indokolt a sebészet,
  • Mikor kínálható konzervatív, funkcionális alternatíva,
  • És hogyan illeszthető az ALF a rögzített kezelések mindennapi gyakorlatába.

Jelentős túlharapások kezelése sebészet és kisőrlőhúzás nélkül

A-pont megőrzése, felső ajak teltségének védelme

Légút-központú kezelési filozófia, hangsúly a mandibula előre mozgatásán

Megoldás mélyharapások és mandibula-aszimmetriák korrekciójára

Alternatíva az intenzív gumihúzások helyett – funkcionális szemlélettel

TMI-adaptív remodeliálás: stabilitás és komfort felnőtt és tinédzser esetekben

Mit kapsz pontosan a képzésen?

Ez az egynapos, intenzív képzés arra épül, hogy a résztvevők ne csak új szemléletet, hanem azonnal alkalmazható protokollt kapjanak a mindennapi gyakorlatukhoz.

Elméleti blokkok:

  • TMI biológiai adaptációja és a remodeling lehetőségei
  • Az Angle II eltérések etiológiai sokszínűsége
  • Funkcionális orthopédia és ALF kombinációk a klasszikus kezelésekkel
  • Kezelési protokollok, esettípusok

Gyakorlati modulok:

  • Dokumentáció és esetkiválasztás: hogyan ismerd fel, mikor kínálható alternatíva a sebészet helyett
  • Mandibula funkcionális repozícionálása ALF készülékkel – elvi alapok
  • Klinikai workflow: átadás, kontroll, utánkövetés, komplikációkezelés
  • Esetbemutatások: felnőtt és tinédzser páciensek, aszimmetriák és mélyharapások kezelése

Kommunikációs rész:

  • Hogyan magyarázd el a páciensnek vagy szülőnek, hogy sebészet helyett konzervatív alternatívát kínálsz?
  • Mit és hogyan kommunikálj a stabilitásról, esztétikáról és a légúti előnyökről?

“Take Home Message” a nap végére: Olyan diagnosztikai és kezelési protokollt kapsz, amelyet már másnap be tudsz építeni a praxisodba – biztonságos laborháttérrel és szakmai mentorálással.

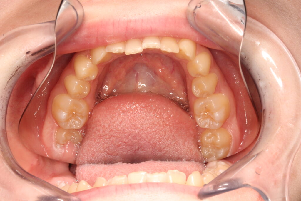
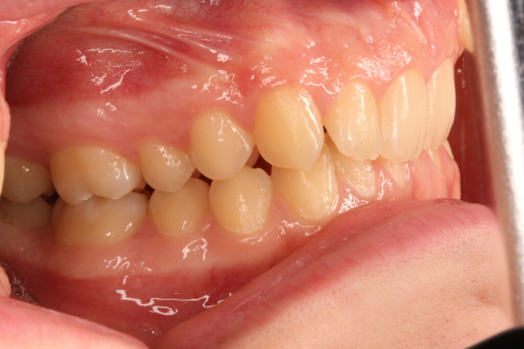
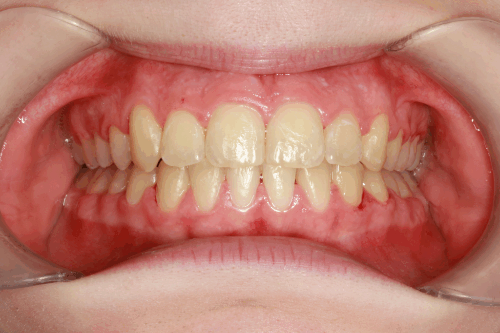
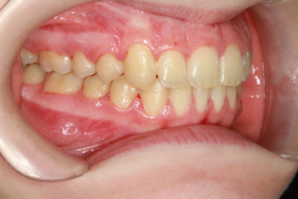
Előtte

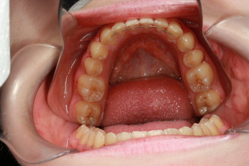
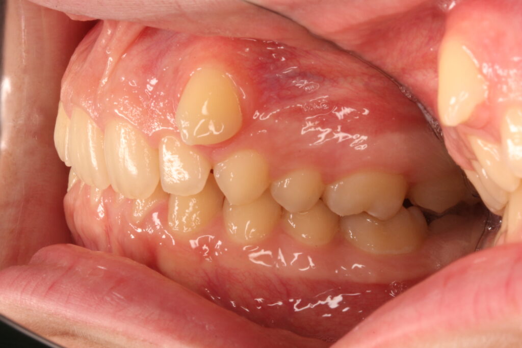
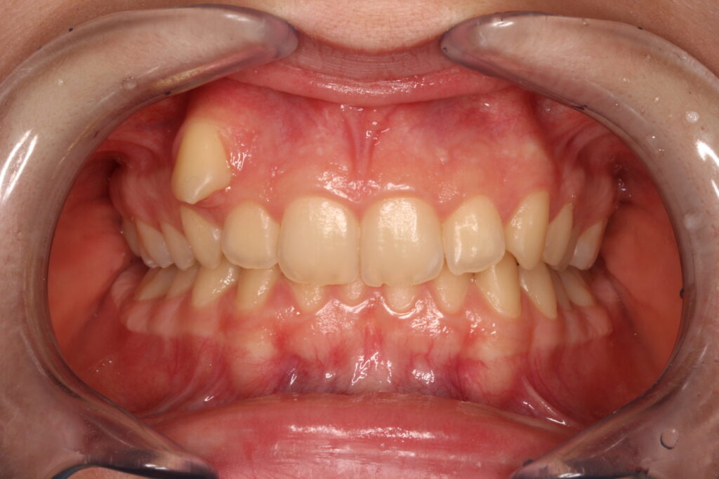
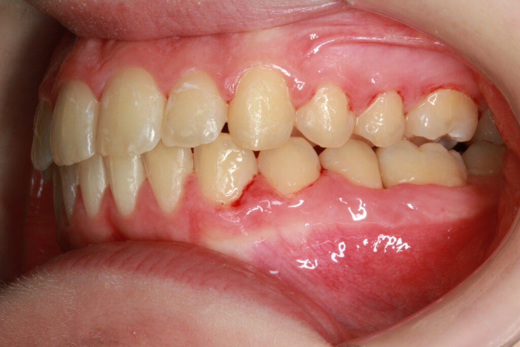
Utána

Kinek szól a képzés?

Ez a képzés neked szól, ha…

  • Fogszabályozó szakorvos vagy, és szeretnél egy olyan funkcionális megközelítést megismerni, amely túlmutat a hagyományos dogmákon, és valós alternatívát kínál Angle II esetekben – akár jelentős túlharapásról, mélyharapásról vagy aszimmetriáról van szó.
  • Rezidens vagy, és nyitottan keresed azokat az új szemléleteket, amelyekkel már pályád elején differenciáltabb tudással és versenyelőnnyel indulhatsz.
  • Érteni akarod a TMI-adaptáció klinikai jelentőségét, és világosan látni, hogy hol van a sebészeti beavatkozás valódi helye, és mikor kínálható biztonságosan konzervatív, funkcionális alternatíva.

Gyakorlati tudnivalók

  • Időpont
    2025.12.12. 9:00–18:00
  • Helyszín
    Hermann Dental and Medical Egészségközpont
    1036 Budapest, Bécsi út 85.
  • Időtartam
    1 nap, intenzív gyakorlati tréning – kis létszámú csoportban (max. 12 fő).
  • Részvételi díj
    ➡️ 2025. november 23-ig Early Bird kedvezménnyel 240 000 Ft helyett csak 215 000 Ft!
    A részvételi díj tartalmazza:
    ✔ 1 napos személyes, gyakorlatorientált tréning
    ✔ Részvételi oklevél
    ✔ Szakmai háttéranyagok (letölthető kérdőívek, sablonok)
    ✔ Labor támogatás az első esethez

❌ Az ár az ebédet nem tartalmazza.

Miért érdemes részt venni?

Szakmai előnyök

  • Egy merőben új, funkcionális szemlélet megismerése
  • Bizonyítékokon alapuló alternatíva Angle II esetekben
  • Könnyen kombinálható módszer a modern, rögzített rendszerekkel

Praxis előnyök

  • Differenciált pozíció a piacon – nem csak sebészet vagy kompromisszum
  • Kevesebb „minden vagy semmi” döntési helyzet
  • Stabilabb elégedettség a pácienseknél és szülőknél

Páciens előnyök

  • Alternatíva állcsontsebészet és foghúzás helyett
  • Esztétikai eredmény az A-pont és az ajakteltség megőrzésével
  • Kevesebb másodosztályú gumihúzás szükséges

A kezdésig hátralévő idő:

Az előadó: Dr Hermann Gábor

Az egészségközpontú funkcionális fogszabályozás definícióját Dr. Hermann Gábor vezette be. Dr. Hermann Gábor a fogszabályozás különböző technikáit honosította meg, melyeknek első felhasználója, előadója volt Magyarországon. A Damon technika európai előadója volt, bevezette Magyarországon a “lágy erőkkel működő fogszabályozás” koncepciót.

Az Európai Alvásfogászati Társaság, és az Európai Sportfogászati Társaság tagja valamint jelenleg is az IFUNA nemzetközi szervezet elnöke. HermannOrtho Professzionális Fogszabályozást 2006-ban, a Neurotrain fejlesztőközpontot 2020-ban alapította. Szakterületei a komplex, egészségközpontú gyermek- és felnőtt fogszabályozás, sportfogászat, alvásfogászat, mind-body medicina.

Annak eldöntése, hogy az adott esetre melyik a legalkalmasabb, ismerni kell a legújabb diagnosztikai eljárásokat, az egészségre való hatását, és ismerni kell a legújabb technikákat. Megszállottan keresem mindig a legújabb, legjobb módszereket, melyekkel pácienseim hasznára lehetek.”

Vélemények

💬 „Végre egy képzés, ahol nem csak elméletet kaptunk, hanem azonnal alkalmazható, gyakorlati tudást. Azóta több esetet is sikerrel kezeltem.”
— Dr. K. Ágnes, fogszabályozó szakorvos

💬 „Nagyon inspiráló volt látni, hogy a különböző szakmák hogyan tudnak együtt dolgozni. Úgy érzem, egy új szemlélet nyílt meg számomra.”
— Dr. P. András, fogorvos

Gyakori kérdések

Igen, de feltételekkel. A TMI biológiai adaptációja és a funkcionális erők hatása klinikailag igazolt, de az, hogy a mandibula milyen mértékben tud előre jönni az izom és funkcionális környezet függvénye. Azaz nem a csont hanem az izomzat működése lesz a határ, így azon is dolgozni kell.

A képzés egyik célja, hogy tisztán lásd a határokat: mikor indokolt sebészet, és mikor kínálható biztonságosan konzervatív, ALF-alapú megoldás. Konkrét indikációs és kontraindikációs protokollt kapsz a döntéstámogatáshoz.

Az ALF jól integrálható minden rögzített rendszerrel. A képzésen bemutatjuk, hogyan lehet a két eszközt egymást erősítve használni a gyors, esztétikai eredmények és a funkcionális stabilitás érdekében.

A tapasztalatok azt mutatják, hogy a stabilitásnak két kulcsa van. Az izomzat működésének funkcionális átalakítása és a megfelelő retenció, amely ellen tud állni a mandibula hátraesésének. A képzés konkrét esettanulmányokon keresztül mutatja be a felnőttkori alkalmazás lehetőségeit.

A Hermann Dental and Medical Labor tudja kiszolgálni a tanfolyam után a képzett orvosokat.

Igen. Az első eset(ek)hez mentorált labor konzultációt kapsz, hogy biztonságosan és magabiztosan tudd elindítani a kezelést a saját praxisodban.

Alternatívák az Angle II korrekcióban – ALF képzés

Nem a dogmák ellen, hanem azok mögé nézünk: a TMI-adaptáció és a funkcionális erők kombinációja új perspektívát ad az Angle II esetek kezelésében – rögzített rendszerekkel kiegészítve.

A helyek száma korlátozott (max. 12 fő)!

Jelentkezz most!

Szeretnél azonnal értesülni?

Havi 1 levél – értékes tudás, újdonságok, programok.
Iratkozz fel hírlevelünkre!