A gyermekkori fogszabályozás új dimenziója
Tanuld meg, hogyan érhetsz el gyors, szülők számára látható eredményt biológiailag kíméletes módon – stabil és hosszú távú korrekcióval.
A gyermekkori fogszabályozásban sokféle szemlélet létezik. Egyesek a késői beavatkozás mellett érvelnek, mások az intenzív tágítást tartják az ideális megoldásnak. Továbbá, vannak, akik a funkcionális készülékekkel dolgoznak, sokan pedig kizárólag miofunkcionális trénereket javasolnak.
A valóság azonban ennél árnyaltabb. Sok kolléga tapasztalja, hogy a kipróbált módszerek nem minden esetben hozzák a kívánt eredményt, vagy túlzottan a gyermek együttműködésétől függenek.
Az általunk kidolgozott ALF-módszertan egy olyan alternatíva, amely:
A tanfolyam célja, hogy biztonságos és gyakorlatias módon mutassa be az ALF lehetőségeit, és segítsen a kollégáknak megtalálni a szülők elvárásainak is megfelelő, stabil megoldást.
Egy egynapos elméleti és gyakorlati tanfolyam során kapsz teljes képet az általunk kidolgozott ALF módszertan lehetőségeiről, és gyakorlati tudást, amelyet azonnal bevezethetsz a praxisodban.
Délelőtt – elmélet és szemlélet
✔ A funkcionális mátrix és a gyermekkori malokklúziók háttere
✔ Az ALF készülék története, indikációi és típusai
✔ALF-bracket kombinációs technika bemutatása
✔ Esetszelekció: mikor válaszd az ALF-et?
✔ Kombinálhatóság más eszközökkel (trénerek)
✔ Class II, Class III, aszimmetria és keresztharapás elméleti megközelítése
Délután – gyakorlat és kommunikáció
✔ Esettervezés a laborral: hogyan dolgozz együtt hatékonyan
✔ Készülék átadás és aktiválási protokoll
✔ Kontroll, utánkövetés, retenció a fogváltás végéig
✔ Gyakori hibák és megoldásaik
✔ Szülői és pácienskommunikáció: hogyan mutasd be a módszer előnyeit a klasszikus eszközökkel szemben
Ez a képzés neked szól, ha…
✔ Fogszabályozó szakorvos vagy, és szeretnéd bővíteni az eszköztáradat olyan alternatív módszerrel, amely gyors, szülők számára látványos eredményt ad, de biológiailag kíméletes és stabil.
✔ Rezidens vagy, és nyitott szemlélettel szeretnéd megismerni azokat a funkcionális és modern megközelítéseket, amelyekkel differenciáltabb tudással indulhatsz a pályán.
❌ Az ár az ebédet nem tartalmazza.
Átutalással történő fizetés nem lehetséges a képzést megelőző 1 héten belül! Kérjük, hogy bankkártyával teljesítsék a díjfizetést az 1 héten belüli jelentkezés esetén, ellenkező esetben nem tudjuk garantálni a képzésen való részvételt.
Az egészségközpontú funkcionális fogszabályozás definícióját Dr. Hermann Gábor vezette be. Dr. Hermann Gábor a fogszabályozás különböző technikáit honosította meg, melyeknek első felhasználója, előadója volt Magyarországon. A Damon technika európai előadója volt, bevezette Magyarországon a “lágy erőkkel működő fogszabályozás” koncepciót.
Az Európai Alvásfogászati Társaság, és az Európai Sportfogászati Társaság tagja valamint jelenleg is az IFUNA nemzetközi szervezet elnöke. A HermannOrtho Professzionális Fogszabályozást 2006-ban, a Neurotrain fejlesztőközpontot 2020-ban alapította. Szakterületei a komplex, egészségközpontú gyermek- és felnőtt fogszabályozás, sportfogászat, alvásfogászat, mind-body medicina.
“Annak eldöntése, hogy az adott esetre melyik a legalkalmasabb, ismerni kell a legújabb diagnosztikai eljárásokat, az egészségre való hatását, és ismerni kell a legújabb technikákat. Megszállottan keresem mindig a legújabb, legjobb módszereket, melyekkel pácienseim hasznára lehetek.”
💬 „A Hermann Akadémia képzésein már több tucat fogszabályozó és fogorvos vett részt, akik ma sikerrel alkalmazzák a tanult módszereket a mindennapi praxisukban.”
— Dr. K. Ágnes, fogszabályozó szakorvos
💬 „Nagyon inspiráló volt látni, hogy a különböző szakmák hogyan tudnak együtt dolgozni. Úgy érzem, egy új szemlélet nyílt meg számomra.”
— Dr. P. András, fogorvos
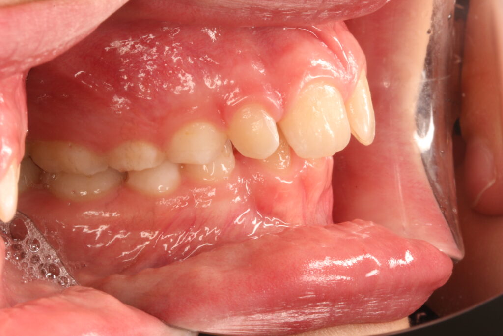
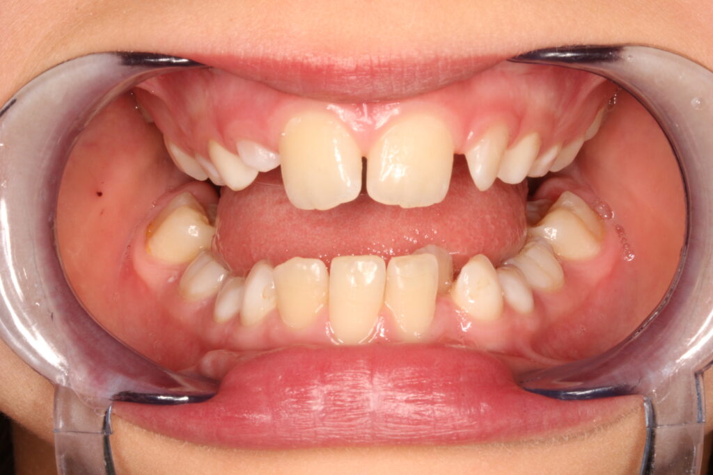
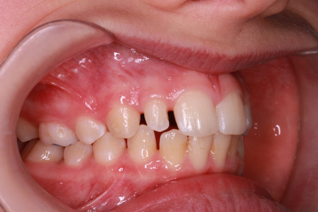
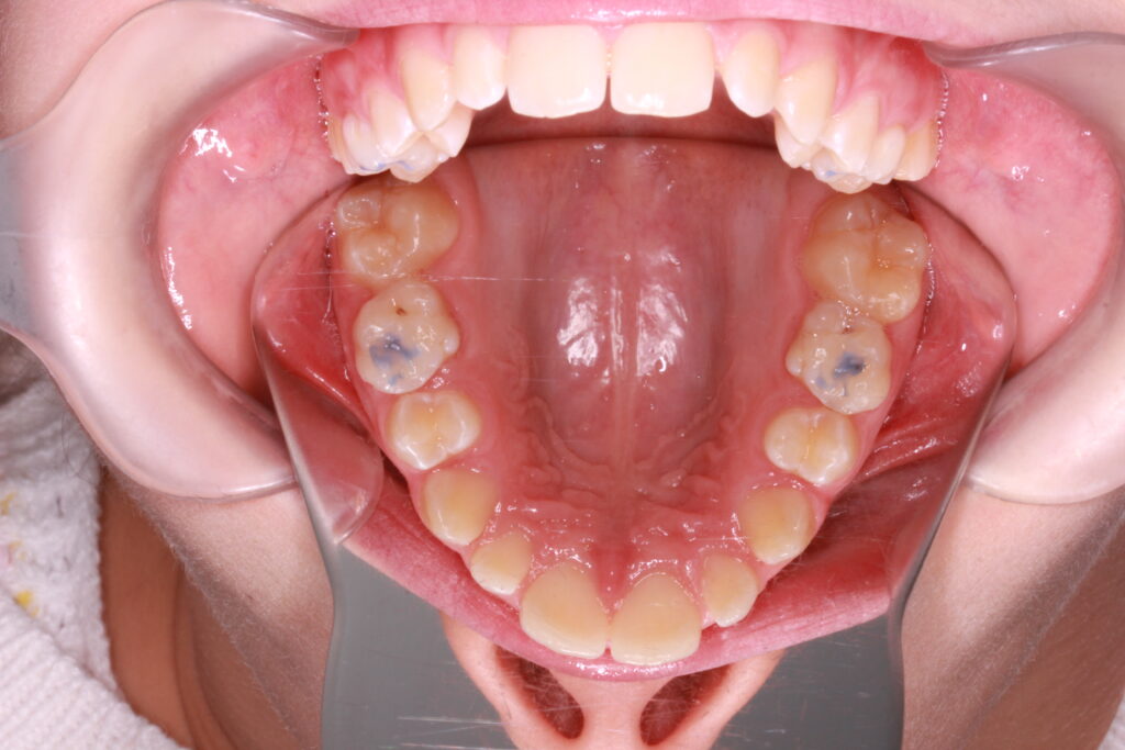
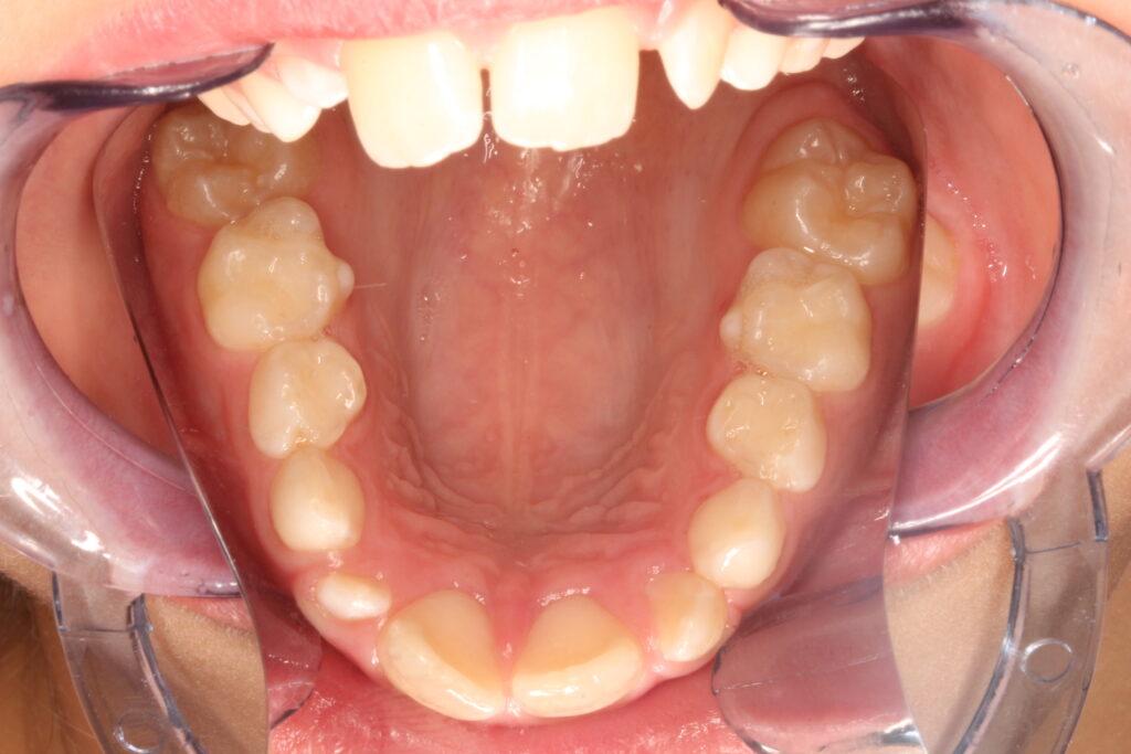
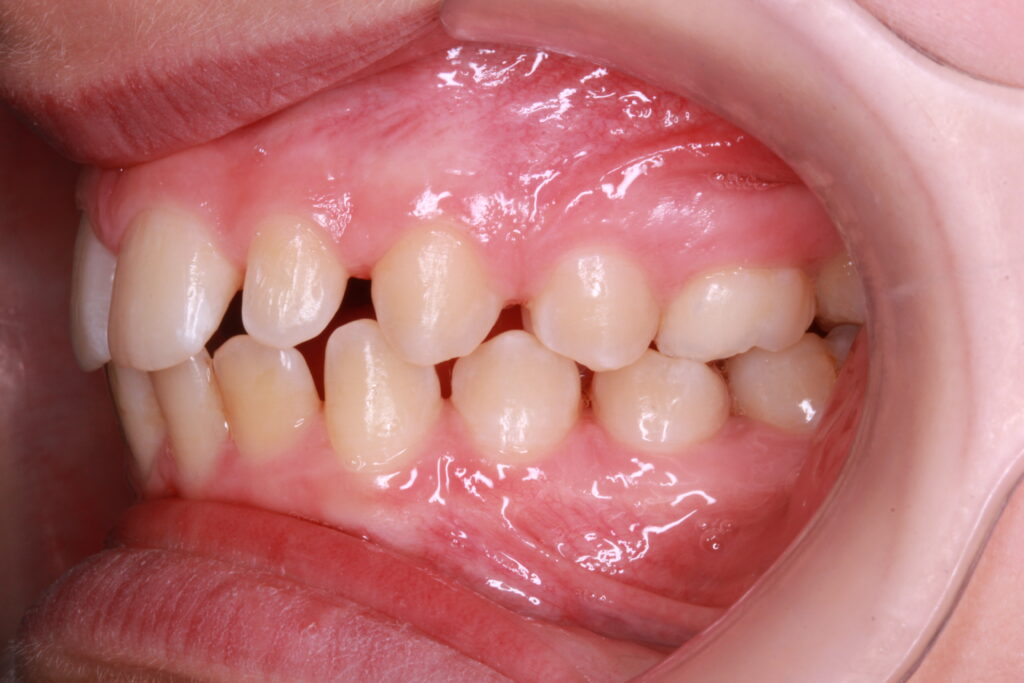
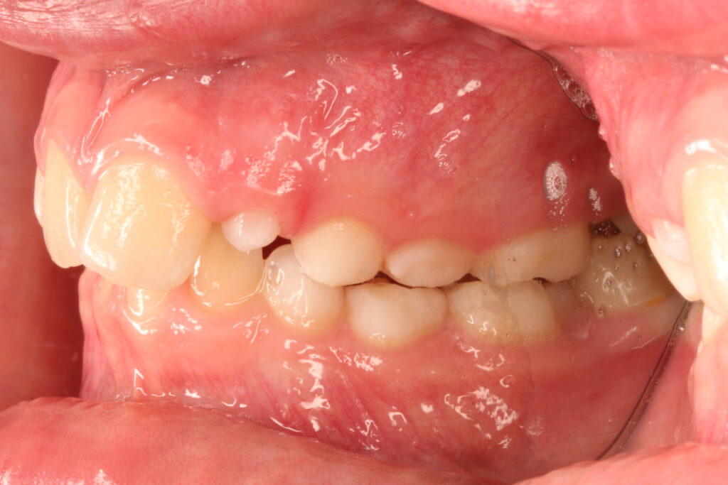
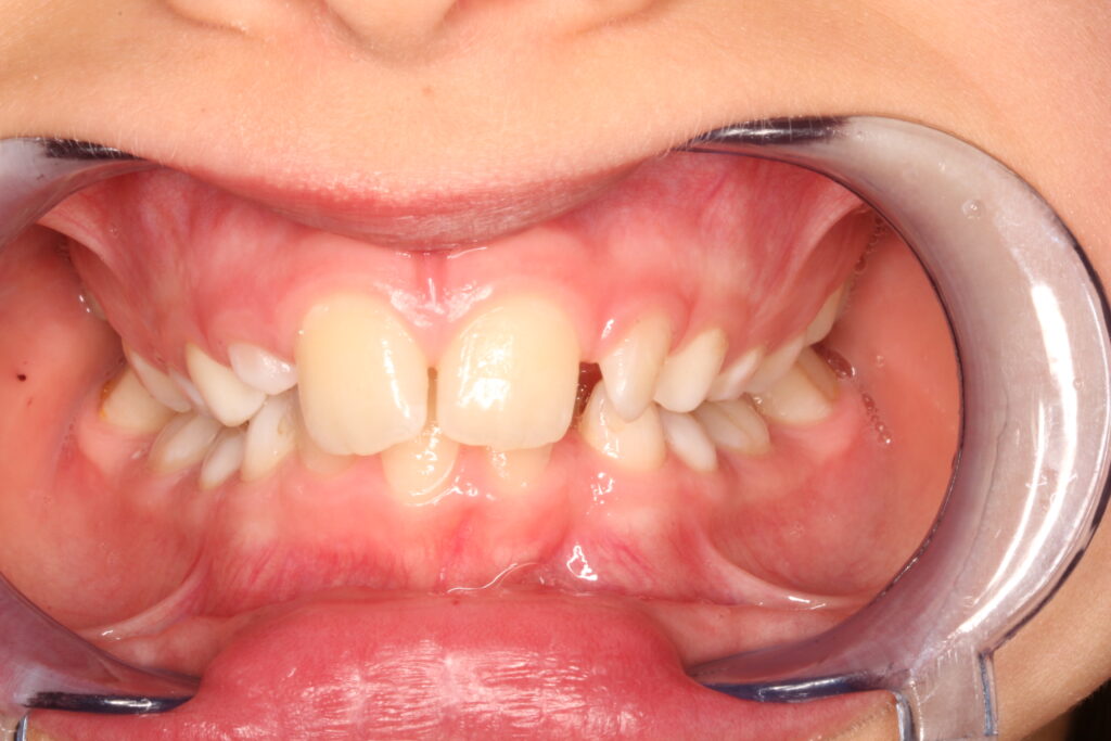
Az ALF készülék nem az agresszív erőhatásokra, hanem a funkcionális erők finom, biológiailag kíméletes irányítására épít. A klinikai tapasztalatok szerint ez tökéletes elég és mind a fogív fejlesztésében, keresztharapások megszűntetésében, helyteremtésben mind a nyelvtér növelésében jól működik.
Igen, a készülék komfortos, könnyen megszokható, akár 3-4 éves kortól alkalmazható. A gyerekek általában gyorsan megszokják.
Kevesebbet, mint a kivehető eszközök esetén. Az ALF rögzített, így a hatás nem függ a páciens mindennapi fegyelmezettségétől. Ez csökkenti a kezelőorvos stresszét és kiszámíthatóbbá teszi az eredményeket.
A leggyakoribb a vegyes fogazat időszakában (6–11 év), de alkalmazható teljes tejfogazatban is nagyon korai kezelések esetében, akár 3-4 éves kortól is.
Igen. A képzés résztvevői közvetlen hozzáférést kapnak a laborhoz és egyből el tudod kezdeni a közös munkát.
Igen. Az első rendelésedhez case starter támogatást biztosítunk: konzultáció, tervezési segítség és technikai háttér a biztonságos induláshoz.
Segítsd a gyerekeket stabil, kíméletes és hosszú távon fenntartható eredménnyel – miközben szülői elégedettséget és szakmai biztonságot nyújtasz.
A helyek száma korlátozott (max. 12 fő)!
Havi 1 levél – értékes tudás, újdonságok, programok.
Iratkozz fel hírlevelünkre!
